何春水主任团队妙手取栓,打通“生命通道”
近日,成都中医药大学附属医院血管外科何春水主任带领团队,成功应用先进的肺动脉取栓支架系统,为两名肺栓塞患者解除了生命危机。手术精准高效地开通了患者完全闭塞的肺动脉,术后患者症状明显缓解。此项技术的成功应用,标志着医院在急性、亚急性肺动脉栓塞微创介入治疗领域取得了显著突破,为广大患者带来了更安全、更有效的治疗选择。

病例1介绍
32岁女性,因“反复咳嗽胸闷2月,加重1天”来到我院就诊。入院时,氧饱和度仅为88%,心率高达128次/分,D-二聚体显著升高,心脏超声提示右心增大,肺动脉CTA显示左下肺动脉主干、右中肺动脉主干完全栓塞,情况十分危急。
面对患者的生命安危,血管外科何春水主任团队凭借丰富的经验和精湛的技术,决定采用肺动脉取栓支架系统,为患者实施经皮肺动脉机械取栓术。
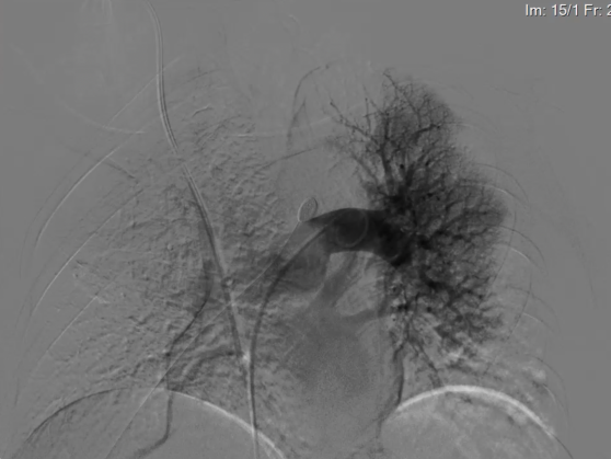
手术过程
在DSA(血管造影机)的实时精准引导下,何春水主任团队通过患者大腿根部的微小穿刺点,将一根纤细的导管精准送达肺动脉。造影显示,患者的左下肺动脉主干、右中肺动脉主干已被大块血栓完全堵塞,血流中断!


专家们小心翼翼地将一种特殊的“多层饼网状支架”输送到血栓部位,精准释放。这种支架像一张柔韧的网,能够牢牢地包裹住血栓。随后,专家们缓慢而稳定地回撤支架,重复操作,完整地取出了堵塞血管的血栓!


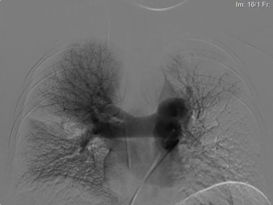
手术结果
经过两个小时的奋战,手术屏幕清晰地显示,堵塞患者的肺动脉的血栓被完全清除,左下肺动脉、右中肺动脉血流恢复畅通!术后,患者胸闷症状立即得到缓解,血氧饱和度迅速回升,转危为安。


病例2介绍
71岁女性,因胸闷气紧1天就诊于医院急诊科,CTA提示急性高危肺栓塞收入血管外科。
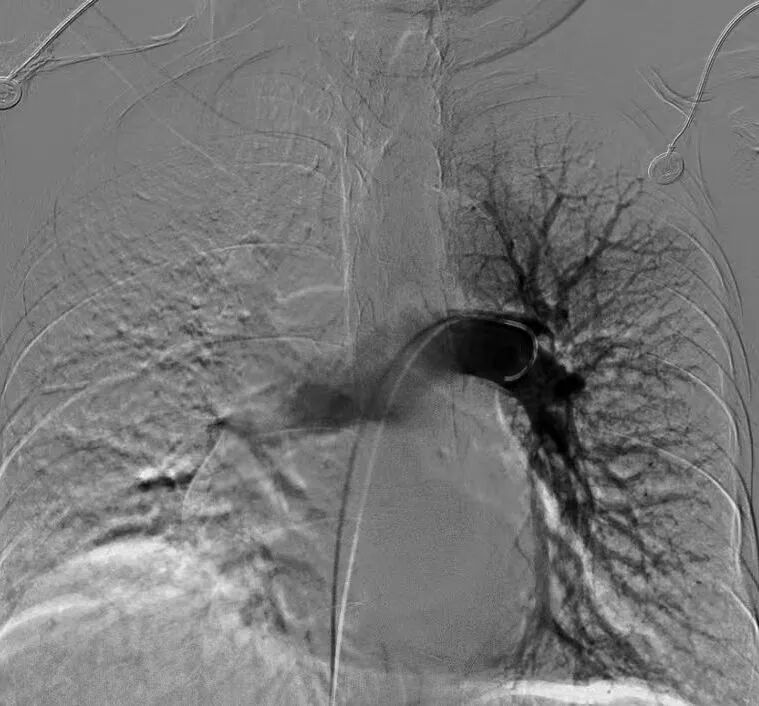
手术过程
专家团队将Tendvia®血栓抽吸导管,沿导丝推送至左侧肺动脉,管口贴近血栓处停止,撤出导管芯。并将Tendvia®肺动脉取栓支架沿导丝通过抽吸导管向前推送,精确导入到患者的左侧肺动脉血栓部位。
再回撤输送鞘管,支架自动膨开,等待90秒,连接抽吸器并形成负压,回撤取栓支架的同时旋转开关释放负压,最后,Tendvia®肺动脉取栓支架捕获和收集血栓进入抽吸导管,经负压抽吸同步的作用下,顺利为患者取出左侧肺动脉血栓。

手术结果
经过1个多小时的奋战,复查造影提示:左肺动脉干充盈缺损较前明显减少,血流通畅。患者胸闷症状立即得到缓解,血氧饱和度迅速回升,成功取出大部份血栓。


背景介绍
肺动脉栓塞是一种危急重症,是导致心血管疾病死亡的重要原因之一。传统的抗凝治疗和药物溶栓虽是基础疗法,但存在血栓清除效率有限、出血风险较高,以及可能遗留慢性肺动脉高压等问题。 随着医疗技术的进步,经皮机械取栓术作为一种重要的治疗手段,在肺栓塞治疗中发挥着越来越重要的作用。与传统手术方式相比,该技术具有创伤小、恢复快等优点,为医生和患者提供了全新的治疗策略。
专家解读
何春水主任介绍:“肺栓塞是由于血栓堵塞肺动脉所致,这些血栓多来源于下肢深静脉,被称为‘深静脉血栓’。一旦血栓脱落,便会随血液回流至心脏,进而被泵入肺动脉,造成堵塞。肺栓塞起病急骤、风险极高,严重时可能导致猝死。因此,预防至关重要。”
健康宣教
预防肺栓塞,关键在于:
避免久坐: 每静坐1小时,起身活动几分钟,伸展腿脚。
补充水分: 保证充足饮水,避免血液黏稠。
健康生活: 控制体重,戒烟限酒。
特殊人群: 术后、产后卧床者,遵医嘱进行踝泵练习或穿戴医用弹力袜,必要时使用抗凝药物。
温馨提示
如果出现突发喘不上气、胸痛、心慌,甚至头晕、晕厥等症状,请务必及时到正规医院就诊,切勿延误治疗。
科室介绍
成都中医药大学附属医院血管外科
成都中医药大学附属医院血管外科是四川省重点学科、四川省中医药学会周围血管疾病专业委员会主委单位、中国西部地区主要的血管疾病治疗中心之一。从事着血管外科常见病、多发病和疑难重症的中西医结合诊治研究,手术会诊医院遍及省内各地;诊疗范围包括主动脉夹层及动脉瘤、下肢动脉闭塞性疾病、下肢深静脉血栓及肺栓塞介入治疗、下肢静脉曲张治疗、血管畸形、下肢慢性难愈合创面等疾病。年开展手术4000余例,其中多项血管疾病诊疗技术达到或处于国内先进水平。科室发展瞄准国际领先水平,多数医护人员均具有国外著名血管外科中心进修学习经历,科室先后承担国家级、省部级重大专项课题30余项,在国内外核心期刊发表学术论文百余篇。
专家介绍

何春水 教授
成都中医药大学附属医院
医学博士,美国克里夫兰临床医疗中心博士后;成都中医药大学附属医院主任医师,博士研究生导师;成都中医药大学附属医院血管外科主任;四川省中医药学会周围血管疾病专业委员会主任委员;四川省医学会血管瘤和脉管畸形学组组长;四川省中西医结合学会周围血管疾病专业委员会主任委员;四川省中医周围血管病医疗质控中心主任。

刘洋 教授
成都中医药大学附属医院
成都中医药大学附属医院血管外科副主任、主任医师、硕士研究生导师;德国Diaknonie医院血管外科访问学者;中国医师协会血管外科分会通路学组委员;中华中医药学会周围血管疾病分会会员;四川省中西医结合学会周围血管病专委会副主任委员;四川省医师协会血管外科分会常务委员;四川省中医药学会周围血管疾病专委会常务委员;国际血管联盟VTE专家委员会委员;亚太血管学术联盟委员;中国糖尿病足联盟委员;四川省中医药学会肿瘤介入专委会委员。
擅长胸腹主动脉瘤、周围血管闭塞性疾病、糖尿病血管病变以及静脉性疾病的介入治疗。以第一作者或通讯作者发表SCI12篇,主持省部级、厅局级科研项目8项。
关于Tendvia®肺动脉取栓支架系统

2024年5月,Tendvia® 肺动脉取栓支架系统(国械注准 20243031010)获得国家药品监督管理局(NMPA)批准上市!Tendvia®肺动脉取栓支架系统作为全国首款急性肺动脉栓塞专用介入器械,填补了我国肺动脉取栓支架治疗肺栓塞领域的空白。
该产品适用于有下述情况之一的急性高危肺栓塞或伴临床恶化的中危肺栓塞的经导管血栓清除治疗:
1、有肺动脉主干或主要分支血栓,并存在高出血风险或溶栓禁忌的患者;
2、有肺动脉主干或主要分支血栓,并经溶栓或积极的内科治疗无效的患者。
Tendvia®肺动脉取栓支架系统是一种创新的治疗急性肺栓塞(PE)的技术,相较于传统的导管溶栓或碎栓治疗,具有以下优势:
1、降低远期形成慢性肺栓塞肺动脉高压(CTEPH)风险:
传统溶栓或碎栓治疗可能无法完全清除血栓,导致残留血栓机化,增加远期CTEPH的风险。而肺动脉支架系统通过机械取栓,能够更彻底地清除血栓,减少CTEPH的发生率。
2、减少溶栓药物相关的大出血风险:
传统溶栓治疗需要使用溶栓药物,可能导致严重出血并发症,尤其是颅内出血或消化道出血。肺动脉支架系统通过机械取栓,避免了溶栓药物的使用,显著降低了出血风险。
3、术后恢复快、并发症少:
外科手术治疗急性肺栓塞,创伤大,出血多,长期疗效不显著不能及时解除病人危险。支架系统取栓治疗创伤较小,并发症发生率较低,术后患者恢复更快,能够尽早下床活动,减少卧床相关并发症。
4、缩短住院时间:
由于恢复快、并发症少,患者住院时间显著缩短,降低了医疗成本,同时也提高了患者的生活质量。

关于腾复医疗
腾复医疗成立于2020年,是一家专注于肺血管及静脉介入医疗器械研发与产业化的国家级高新技术企业,总部位于上海。
公司致力于通过机械取栓技术为静脉血栓栓塞症(VTE)患者提供更安全、更有效的治疗方案。其核心产品包括Tendvia® 肺动脉取栓支架系统(国械注准20243031010)、Tendfast® 外周静脉取栓支架系统(国械注准20243032574)、肺动脉球囊扩张导管(国械注准20253030316)等一系列血管介入器械,目前均已在临床获得广泛应用。
公司立足医疗前沿,持续推进产品研发迭代,为临床实践提供更优解决方案,以优质的产品和完善的服务满足医患双方的临床需求。
Tel:021-52238812
E-mail:om@tendfo.com




关注微信公众号
沪公网安备31011202021416号