近日,浙江大学医学院附属第四医院血管外科楼炎波教授团队应用腾复医疗自主研发的国内首款Tendvia®肺动脉取栓支架系统,成功为多名急性肺栓塞患者实施机械取栓手术。术后患者恢复良好,顺利康复出院。

急性肺栓塞(APE)作为临床常见的致死性心血管疾病之一,具有高致死率和高致残率,中-高危患者早期死亡风险尤为突出。传统抗凝和药物溶栓作为肺栓塞的基础疗法,存在血栓清除效率低、出血风险高、远期遗留慢性肺动脉高压症等显著局限性。随着介入技术和器械的进步,腔内治疗已成为中-高危APE患者的重要治疗方式。如何根据不同器械特点高效清除肺动脉血栓、迅速恢复肺动脉血流,是确保良好预后的关键。
近日,浙江大学医学院附属第四医院血管外科楼炎波教授团队应用腾复医疗Tendvia®肺动脉取栓支架系统成功救治多例中高危急性肺栓塞患者。手术的圆满成功,不仅体现了团队的专业实力和深厚临床经验,也进一步证实了Tendvia®肺动脉取栓支架系统在肺栓塞治疗领域的有效性和安全性,其独特的“支架取栓+负压抽吸”协同技术,能够高效清除血栓,为患者提供了新的治疗选择。

患者1-病例信息
患者:男,78岁。
主诉:胸闷1天。
查体:体格检查:体温:37.2℃,呼吸:20次/分,脉搏:98次/分,血压:121/72mmHg,神清,精神可,无浅表淋巴结肿大,口唇无发绀,无颈静脉怒张,双肺呼吸音减弱,下肺闻及少许干湿啰音,心律齐,未闻及杂音及病理性杂音,腹软,无明显压痛及反跳痛,双下肢无水肿,病理反射未引出。
辅助检查:术前肺动脉CTA提示:肺动脉增粗,两侧肺动脉干及多个分支腔内栓塞,右心饱满。超声:右下肢腘静脉部分血栓形成。心功能尚可。BNP:53.1pg/mL;心肌酶正常;动脉血气:氧分压59.5mmHg,血氧饱和度88.3%,全血乳酸:5.1mmol/L;氧合指数119mmHg;肌钙蛋白:0.024ng/mL;D二聚体:11.72mg/L;心电图:窦性心律,不完全性右束支传导阻滞。
诊断:
1. 急性肺栓塞(中高危组)
2. 下肢深静脉血栓形成
手术计划
术前准备:
1. 超声评估心功能及左右心室直径、双下肢深静脉血栓负荷
2.密切监测生命体征,患者血压心率呈现休克前期表现,血压低98/73mmHg,心率增快110次/分
3. 术前CTA及心超均提示右心饱满,复查BNP快速上升至421.4 pg/ml,提示肺栓塞有高危趋势,拟在ECMO保护下进行全麻肺动脉吸栓手术
手术名称:
经皮肺动脉取栓术(双侧)
肺动脉造影术(双侧)
下腔静脉造影
器械选择:
EMCO系统
Tendvia®肺动脉取栓支架系统
手术过程
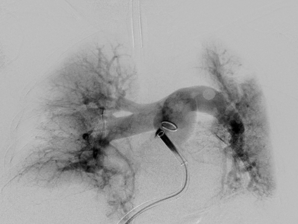
患者取平卧位,留置导尿,气管插管全麻达成后,常规消毒浦巾,超声引导下穿刺右股静脉放置6F鞘,穿刺左股动脉及左股静脉放置11F鞘,左股动脉预置1把缝合器,左股动静脉后交换EMCO转流管,全身肝素化,ECMO上机成功后行术中造影显示:下腔静脉通畅,未见造影剂充盈缺损,双肺动脉主干栓塞,肺动脉显影差。


术前造影
导丝导管配合超选进入右肺动脉分支远端,交换硬导丝,更换腾复肺动脉取栓导管,通过负压抽吸取除大部分右肺动脉血栓,同法行左肺动脉取栓,再次造影显示双肺动脉主干血流通畅,远端分支显影可。拔除导丝导管及鞘管,右股静脉压迫包扎手术结束,患者送ICU。术中失血约300ml。
术后3天转普通病房,术后8天出院。术后2月复查肺动脉CTA提示血栓基本消退。


取栓中

术后造影

取出的血栓

术后2月复查CTA提示血栓基本消退
患者2-病例信息
患者:女,60岁。
主诉:胸闷气急4天,加重1天。
查体:体格检查:休温:37℃,呼吸:15次/分,脉搏:95次/分,血压:121/60mmHg,神志清,精神软,呼吸急促,皮肤巩膜无黄染,颈静脉无怒张,气管居中,肋骨固定中,双肺呼吸音稍低,未闻及干湿啰音,心律齐,心界正常,未闻及杂音及病理性杂音。
辅助检查:CTA:两肺动脉多发栓塞,D-D二聚体>20mg/L,肌钙蛋白:0.176ng/mL(正常值:0.014ng/mL),BNP:204.2pg/mL,心电图:窦性心动过速,前壁T波改变。心脏彩超:右室明显增宽34.7mm,右室收缩功能减低32.7mm。
术前诊断:
1.急性肺动脉栓塞(中高危组)
2.下肢深静脉血栓形成

术前CTA
手术计划
手术名称:
经皮肺动脉取栓术(双侧)
肺动脉造影术(双侧)
下腔静脉滤器置入术
下腔静脉造影
器械选择:
Tendvia®肺动脉取栓支架系统
滤器等
手术过程
患者取平卧位,留置导尿,气管插管全麻达成后,常规消毒铺巾,超声引导下穿刺右股静脉放置6F鞘,术中造影显示:下腔静脉通畅,未见造影剂充盈缺损,双肺动脉主干及分支栓塞,肺动脉显影差。

取栓前造影
导丝导管配合超选进入右肺动脉分支远端,交换硬导丝,更换腾复肺动脉取栓导管,通过负压抽吸取除大部分右肺动脉血栓,同法行左肺动脉取栓,再次造影显示双肺动脉主干血流通畅,远端分支显影可。

右下肺动脉取栓

左下肺动脉取栓

取栓后造影

取出的血栓
取栓完毕后使用尿激酶20w单位经肺动脉导管内注射,然后经右股静脉置入腔静脉滤器,定位于肾静脉水平以下释放滤器。拔除导丝导管及鞘管,右股静脉缝合器缝合,3-0可吸收线缝合切口,压迫包扎,手术结束,患者送ICU。术中出血约50mL。
术后次日转回普通病房。术后第4天出院。术后第27天下腔静脉滤器取出。术后1月复查肺动脉CTA示:主肺动脉、左右肺动脉干及近段部分较大分支走行正常,右肺叶间动脉见少许充盈缺损影,两肺动脉栓塞基本好转。

术后CTA

术后1月CTA复查
手术心得及总结
1、急性肺动脉栓塞危险性极高,尽快恢复肺动脉主要血流有助于改善预后;
2、柔顺性良好的大腔导管极大的促进吸栓效率,快速恢复血流,减少器械副损伤风险;
3、取栓支架有助于去除较顽固血栓,是取栓导管的一大助力;
4、ECMO支持有助于患者循环氧合稳定,为整个取栓过程保驾护航。
专家介绍

楼炎波 教授
浙江大学医学院附属第四医院,普外科副主任兼血管外科副主任,副主任医师;浙江省医学会血管外科分会委员;浙江省医师协会血管外科分会委员;中国心胸血管麻醉学会血管分会委员;浙江省中西医结合学会周围血管病专业委员会青年委员;金华市医学会血管外科分会委员。
主持及主参省级课题3项,发表SCI论文6篇。

贾晓坚 教授
浙江大学医学院附属第四医院普外科、血管外科主治医师。
擅长血管外科常见疾病的诊治;擅长下肢静脉曲张的传统治疗、微创治疗,包括大隐静脉高位结扎剥脱、腔内射频消融治疗、腔内激光治疗、泡沫硬化剂注射治疗,及静脉血栓、下肢动脉闭塞、胸腹主动脉瘤、颈动脉狭窄等患者的规范化诊疗。
2017年毕业于浙江大学医学院临床医学七年制,获医学硕士学位,长期从事血管外科及普外科常见疾病的诊治。
精通下肢静脉曲张的传统治疗、微创治疗,对下肢静脉曲张的腔内热消融治疗具有丰富经验。
浙江省医师协会血管外科医师分会青年委员会委员;中国微循环学会周围血管疾病专业委员会中青年委员会委员。

吴劲进 教授
浙江大学医学院附属第四医院血管外科主治医师、医学硕士;浙江省医学会血管外科分会青年委员。
毕业于浙江大学,从事血管外科多年,在下肢静脉曲张、深静脉血栓、下肢动脉闭塞、颈动脉狭窄、主动脉疾病、输液港植入等领域积累了丰富的经验。
发表科研论著6篇,参与发明专利2项,主持浙江教育厅项目1项。
关于Tendvia®肺动脉取栓支架系统
2024年5月,腾复医疗自主研发的国内首款机械取栓医疗器械-Tendvia® 肺动脉取栓支架系统(国械注准 20243031010)获国家药品监督管理局(NMPA)批准上市。通过取栓支架和负压抽吸协同取栓的方式,Tendvia® 肺动脉取栓支架系统为肺血栓的临床治疗提供了一种全新的解决方案。
适用范围/预期用途:
该产品适用于有下述情况之一的急性高危肺栓塞或伴临床恶化的中危肺栓塞的经导管血栓清除治疗:
1、有肺动脉主干或主要分支血栓,并存在高出血风险或溶栓禁忌的患者;
2、有肺动脉主干或主要分支血栓,并经溶栓或积极的内科治疗无效的患者。
产品特点:
1、取栓支架+负压抽吸,同步机械取栓;
2、独特取栓网篮支架结构有效作用于各类血栓;
3、大口径抽吸导管设计,强劲抽吸,可容纳大负荷血栓,搭配大口径负压专用抽吸器,抽吸效果强劲快速;
4、抽吸管采用管体多段式结构设计,完美平衡推送性和柔顺性;
5、快速开通血管,即刻改善症状,手术时间短,术后恢复快。

关于腾复医疗
腾复医疗成立于2020年,是一家专注于肺血管及静脉介入医疗器械研发与产业化的国家级高新技术企业,总部位于上海。
公司致力于通过机械取栓技术为静脉血栓栓塞症(VTE)患者提供更安全、更有效的治疗方案。其核心产品包括Tendvia® 肺动脉取栓支架系统(国械注准20243031010)、Tendfast® 外周静脉取栓支架系统(国械注准20243032574)、肺动脉球囊扩张导管(国械注准20253030316)等一系列血管介入器械,目前均已在临床获得广泛应用。
公司立足医疗前沿,持续推进产品研发迭代,为临床实践提供更优解决方案,以优质的产品和完善的服务满足医患双方的临床需求。
Tel:021-52238812
E-mail:om@tendfo.com




关注微信公众号
沪公网安备31011202021416号