近日,潍坊市人民医院血管外科张杰峰主任团队应用腾复医疗自主研发的国内首款Tendvia®肺动脉取栓支架系统,成功救治2名高危急性肺栓塞患者。患者入院时情况危急,经多学科团队协作及ECMO(体外膜肺氧合)辅助下紧急手术,最终转危为安。该手术系山东省首次在ECMO辅助下开展的高危肺栓塞经导管机械取栓术。

急性肺栓塞由来自静脉系统(深静脉形成的血栓最为常见)或右心的血栓阻塞肺动脉或其分支所致,以肺循环和呼吸功能障碍为主要临床表现,死亡率居心血管疾病第三(仅次于心肌梗死和脑卒中)。抗凝和溶栓治疗作为肺栓塞的基础疗法,存在血栓清除效率低、出血风险高、远期遗留慢性肺动脉高压症等显著局限性。得益于介入技术的发展,经导管机械取栓术已逐渐成为肺栓塞治疗的重要组成部分,其安全性和有效性为临床医师和患者提供了一种新的治疗思路与选择。
体外膜肺氧合(ECMO)作为一种重要的体外生命支持技术,临床上主要用于心脏功能不全和(或
)呼吸功能不全的支持,目前已经成为治疗难以控制的严重心力衰竭和呼吸衰竭的关键技术,是各种急性双心室功能衰竭合并呼吸功能衰竭患者的首选治疗方法,也是心脏骤停患者的抢救性辅助治疗手段
。
针对高危肺栓塞,临床指南建议可考虑ECMO 联合外科肺动脉血栓清除术(Ⅱa,C)。
在国内,ECMO辅助下的肺动脉取栓术仅有少数医院和专家成功开展。潍坊市人民医院血管外科二病房通过持续优化诊疗方案,显著提升了高危肺栓塞患者的救治水平。近日,该病房已成功完成2例ECMO辅助下的高危肺栓塞取栓术。手术的圆满成功,不仅体现了潍坊市人民医院血管外科在肺栓塞微创介入治疗领域的综合实力和深厚临床经验,同时也进一步证实了Tendvia® 肺动脉取栓支架系统的有效性及安全性,为患者提供了新的治疗选择。
患者1-病例信息
患者:男,60岁。
主诉:突发晕厥2小时。
现病史:患者入院2小时前无明显诱因突发一过性晕厥,伴有心慌、胸闷、喘憋,气促,行肺动脉CTA检查提示急性大面积肺栓塞。急诊完善相关检查示:高敏肌钙蛋白6557.0pg/ml(正常值0-19.8pg/ml),乳酸脱氢酶450U/L(正常值120-250U/L),乳酸脱氢酶同工酶176U/L(正常值20-72U/L),α-羟丁酸脱氢酶300U/L(正常值72-182U/L);BNP 280.87pg/ml(正常值0-100pg/ml),D-二聚体25.33ug/ml(正常值0-0.55ug/ml),谷丙转氨酶73U/L,谷草转氨酶150U/L。
应急诊科会诊请求,血管外科刘涛主治医师迅速前往,经与谢地成主治医师共同评估,确诊患者为高危致死性肺栓塞,随即收入血管外科,并与ICU张庆海主任、朱贵伟主治医师共同商定手术方案。

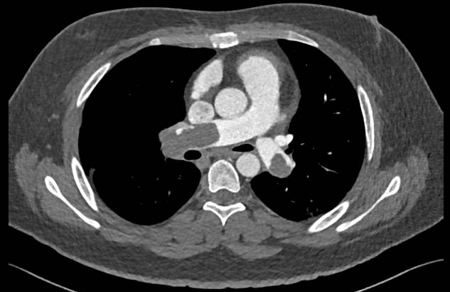
术前肺动脉CTA提示双肺动脉主干栓塞
入院后生命体征:体温36.5℃,脉搏:110次/分,呼吸:23次/分,血压:101/55mmHg(收缩压较平时下降约40mmHg),血氧饱和度90%。心脏超声:右房室大,肺动脉增宽,RV/LV约1.1,肺动脉压约76mmHg。高危证据:血流动力学不稳定、肺栓塞严重指数(sPESI评分):3分、右心室功能障碍。
患者2-病例信息
患者:男,24岁。
主诉:突发胸闷憋气2天余。
现病史:因“突发胸闷憋气2天余”入院,伴有胸闷、喘憋,有头晕不适,当地医院诊断为急性肺栓塞。于潍坊市人民医院急诊门诊就诊,主治医师陈希彬医生收住ICU,完善相关血液学检查提示右心衰竭表现,高敏肌钙蛋白558.8.0pg/ml(正常值0-19.8pg/ml), 乳酸脱氢酶223U/L(正常值120-250U/L), 乳酸脱氢酶同工酶134U/L(正常值20-72U/L), α-羟丁酸脱氢酶218U/L(正常值20-72U/L);BNP 403.38.87pg/ml(正常值0-100pg/ml),D-二聚体14.94ug/ml(正常值0-0.55ug/ml)。
ICU张庆海主任、朱贵伟、石耀璞主治医师与血管外科张杰峰主任医师团队讨论评估,考虑患者为高危致死性肺栓塞,决定先为患者施行ECMO保障护航,随即准备急诊行肺动脉机械取栓术。

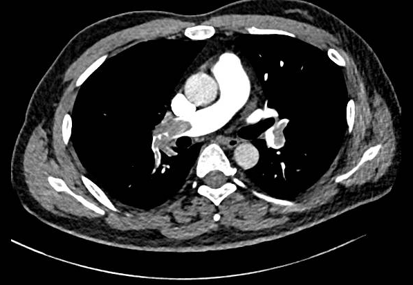
术前肺动脉CTA提示双肺动脉主干栓塞
生命体征:体温:37.6℃,脉搏:113次/分,呼吸:22次/分,血压:101/66mmHg(较平时收缩压降低20mmHg)。心脏超声:右心房室大,肺动脉收缩压约38mmHg,RV/LV约1.0。高危证据:肺栓塞严重指数(sPESI评分):2分,血流动力学不稳定、右心功能障碍、肌钙蛋白升高。
手术方案
充分术前准备后,由张杰峰主任医师主刀,孙波副主任医师、刘涛主治医师及张子正住院医师共同组成的手术团队,在科室内部开展了详细的术前病例讨论,并确立手术方案。
手术名称:
ECMO辅助下行下腔静脉、肺动脉造影术 + 经皮肺动脉取栓术 + 下腔静脉滤器置入术
器械选择:
ECMO系统
Tendvia® 肺动脉取栓支架系统
最终,在麻醉团队(马健辉副主任、郭光全主治医师、刘金峰主治医师、刘彦朋主治医师)的通力协作与全程护航下,手术顺利完成。
手术过程

患者1-术中进行ECMO置入转机

患者1-术中取出的肺内血栓(上图左肺,下图右肺)

患者1-术毕造影提示绝大部分肺血栓已取出

患者2-ECMO置入后转运至手术室

患者2-左肺内取出的血栓

患者2-右肺内取出的血栓

患者2-术毕造影提示绝大部分肺血栓已取出
患者术后转入ICU继续稳定病情,各项指标较术前大幅好转,心衰指标恢复正常,肝功及心肌酶谱均明显好转下降后撤除ECMO。术前喘憋、心慌等不适症状消失,手术效果理想,达到临床治疗目的。
专家介绍

张杰峰
潍坊市人民医院
潍坊市人民医院血管外科主任医师,硕士生导师。国际血管外科协会(ISVS)成员;亚太血管学术联盟APA理事;中国微循环学会周围血管疾病专业委员会委员,静脉曲张学组副组长。第二届基层专家委员会副主任委员;中国中西医结合学会周围血管病专委会委员;山东省医学会血管外科分会副主任委员;山东省医师协会血管外科分会副主任委员;山东省医师协会外周血管介入医师分会副主任委员;潍坊市医学会血管外科专业委员会主任委员。

孙 波
潍坊市人民医院
医学博士,副主任医师。亚太血术联盟血管外科专业委员,中国微循环学会周围血管疾病专业委员会委员,中国老年医学委员会老年病学分会委员。山东中西医结合学会外周血管介入专业委员会常务委员;山东省患者安全管理协会血管外科专业委员会常务委员;潍坊市医师学会血管外科分会副主任委员,潍坊市医学会血管外科学组委员。获得省级科技进步二等奖一项,市级科技进步奖四项。

刘 涛
潍坊市人民医院
潍坊市人民医院血管外科,主治医师,硕士研究生,毕业于首都医科大学。擅长血管外科常见疾病的诊疗,包括主动脉夹层、腹主动脉瘤、下肢动脉硬化闭塞症、内脏动脉瘤、动-静脉畸形、下肢深静脉血栓、下肢静脉曲张等。学术任职:中国中西医结合学会血管外科专业委员会委员,山东省中西医结合学会外周血管介入学分会委员,潍坊市医学会VTE防治专业委员会委员、秘书。
关于Tendvia®肺动脉取栓支架系统
Tendvia®肺动脉取栓支架系统(国械注准 20243031010)是腾复医疗自主研发的国内首款肺动脉机械取栓医疗器械。通过取栓支架和负压抽吸协同取栓的方式,Tendvia® 肺动脉取栓支架系统为肺血栓的临床治疗提供了一种全新的解决方案。
适用范围/预期用途:
该产品适用于有下述情况之一的急性高危肺栓塞或伴临床恶化的中危肺栓塞的经导管血栓清除治疗:
1、有肺动脉主干或主要分支血栓,并存在高出血风险或溶栓禁忌的患者;
2、有肺动脉主干或主要分支血栓,并经溶栓或积极的内科治疗无效的患者。
产品特点:
1、取栓支架+负压抽吸,同步机械取栓;
2、独特取栓网篮支架结构有效作用于各类血栓;
3、大口径抽吸导管设计,强劲抽吸,可容纳大负荷血栓,搭配大口径负压专用抽吸器,抽吸效果强劲快速;
4、抽吸管采用管体多段式结构设计,完美平衡推送性和柔顺性;
5、快速开通血管,即刻改善症状,手术时间短,术后恢复快。

关于腾复医疗
腾复医疗成立于2020年,是一家专注于肺血管及静脉介入医疗器械研发与产业化的国家级高新技术企业,总部位于上海。
公司致力于通过机械取栓技术为静脉血栓栓塞症(VTE)患者提供更安全、更有效的治疗方案。其核心产品包括Tendvia® 肺动脉取栓支架系统(国械注准20243031010)、Tendfast® 外周静脉取栓支架系统(国械注准20243032574)、肺动脉球囊扩张导管(国械注准20253030316)等一系列血管介入器械,目前均已在临床获得广泛应用。
公司立足医疗前沿,持续推进产品研发迭代,为临床实践提供更优解决方案,以优质的产品和完善的服务满足医患双方的临床需求。
Tel:021-52238812
E-mail:om@tendfo.com




关注微信公众号
沪公网安备31011202021416号